Header
  


Call today to make an appointment 


217-546-4738

 
Be part of our Facebook Group
Banner picture for Smile Gallery Page

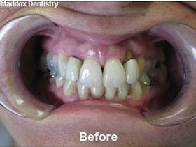
Smile Gallery

WE MAKE FANTASTIC SMILES.

These before and after pictures show what expert dentistry and committed preventative care can do for a person’s appearance and overall oral health.

Graphic link to Preventative Dentistry page
Graphic link to Restorative Dentistry page
Graphic link to Cosmetic Dentistry page